Врачи Семея сообщили о состоянии пациентки, которой накануне удалили гигантскую эхинококковую опухоль из головы, передает корреспондент Tengrinews.kz.
"Пациентка пробудилась после оперативного вмешательства, она экстубирована. Сейчас она находится в сознании, потихоньку разговаривает. Руки-ногами двигает, сама кушает. Маму, родственников, всех узнает. Пациентка получает интенсивную терапию в плановом порядке, все, что положено", - сообщил врач-нейрохирург больницы скорой медицинской помощи города Семея Толеугали Койшыбаев.
Операция по извлечению эхинококковой кисты длилась 2 часа. Материал предоставлен общественным объединением KAZNEURO
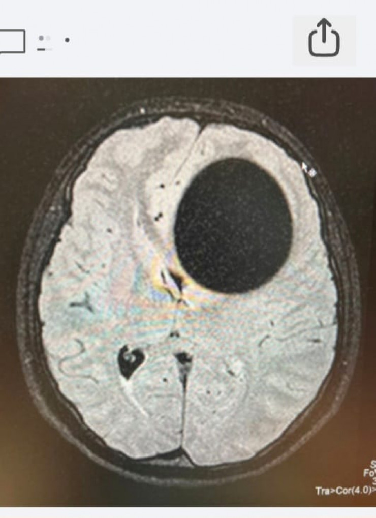
Накануне нейрохирурги Семея извлекли гигантскую эхинококковую кисту из головы пациентки. 20-летняя девушка поступила 17 января к невропатологам больницы скорой медицинской помощи (БСМП) Семея. Сначала у нее подозревали инсульт, однако на компьютерной томографии в головном мозге была выявлена огромная киста диаметром 5,5 сантиметра.
За короткое время был установлен диагноз "эхинококкоз" и принято решение о трепанации черепа и извлечении опухоли. Незамедлительно она была прооперирована.

КТ-снимок до операции.

КТ-снимок после операции. Материал предоставлен общественным объединением KAZNEURO
Эхинококковая киста головного мозга (эхинококкоз головного мозга) - природно-очаговое паразитарное заболевание центральной нервной системы, вызываемое ларвальными стадиями гельминтов Echinococcus multilocularis и Echinococcus granulosus. Паразиты попадают в организм через грязные руки, а также передаются от собак, кошек и лис.
Без своевременного лечения эхинококкоз может привести к летальному исходу.
Өзекті жаңалықтарды сілтемесіз оқу үшін Telegram желісінде парақшамызға тіркеліңіз!